インプラントインプラント治療例欠損歯
欠損したまま放置していた奥歯2本のインプラント治療例
自由が丘にある歯医者、オーラルクリニーク自由が丘 歯科&矯正歯科の歯科医師、笠井です。
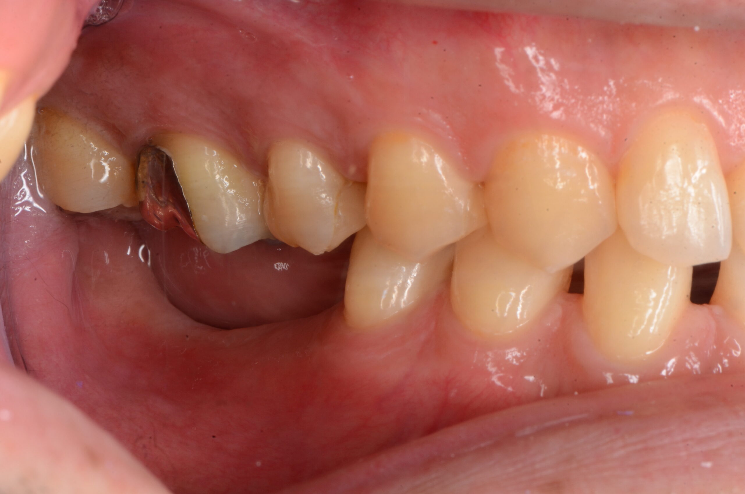
今回は、歯がないままの状態を放置してしまっていた患者様のインプラントの症例をご紹介します。
右下の歯がないまま放置しており、インプラントを検討したいとのことでご来院されました。
欠損したまま放置していると、顎の骨が退縮したり、かみ合わせが悪くなることがあるため、早めに治療を行うことをお勧めします。
- 治療期間
- 6ヶ月
- 来院回数
- 10回(相談・検査から最終補綴装着まで)
- 治療内容
- ・インプラント検査 33,000円
・インプラント スタンダード 363,000円×2
・インプラント仮歯 44,000円×2
- メリット
- 欠損治療として
・左右の噛み合わせのバランスが崩れることにより、欠損の拡大を防ぐことができる
・対抗する歯の挺出を防ぎ、噛み合わせの中で生かすことができる
入れ歯と比較し
・噛みやすい
・他の歯への影響が少ない
・異物感が少ない
・審美的
- デメリット
- ・費用がかかる
・治療期間が入れ歯に比べると長い場合が多い
・外科処置を行う必要がある
上記の治療は保険適応外、料金はブログ公開日時点での税込価格になります。
インプラントについてはこちら




