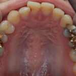
セラミック治療例欠損歯
金属でのブリッジをセラミックのブリッジに変更した治療例
自由が丘にある歯医者、オーラルクリニーク自由が丘 歯科&矯正歯科の歯科医師、岡田です。
今回は金属でのブリッチをセラミッククラウンに変更した症例をご紹介します。
金属でブリッジ治療を行っている部分に違和感があるとご来院されました。
- 治療期間
- 2週間
- 来院回数
- 2回
- 治療内容
- ジルコニアクラウン 88,000円x3本
- メリット
- ・金属アレルギーの心配がない
・色味が白く美しい
・清掃性が良く、虫歯になりにくい - デメリット
- ・保険適用外のため費用が高額になる
・食いしばりが強いと割れることがある
上記の治療は保険適応外、料金はブログ公開日時点での税込価格になります。
セラミックについてはこちら



