セラミックセラミック治療例
歯の色味を改善する審美歯科治療(セラミック)の治療例
自由が丘にある歯医者、オーラルクリニーク自由が丘 歯科&矯正歯科の歯科医師、笠井です。
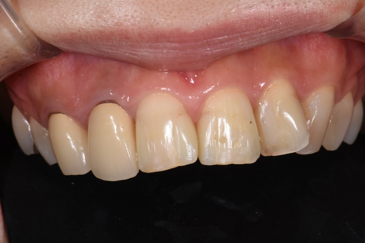
今回は、治療後の歯の色がきになるとご来院された方の、セラミッククラウンの治療症例をご紹介します。
他院での度重なる虫歯治療や、根管治療を行った後の歯の色味が気になる、口元の見え方が気になるとのお悩みでご来院されました。
歯並びを整え、隣り合う歯とも違和感なく、ご自身の歯のような色味を再現することのできるセラミッククラウンをご提案いたしました。
- 治療期間
- 4ヶ月
- 来院回数
- 7回(虫歯治療・根管治療、白い土台、仮歯、セラミッククラウン)
- 治療内容
- ・仮歯5,000円 × 6
・セラミッククラウン(e-max) 77,000円 × 6
※資料採得、シミュレーション・相談、歯周基本治療は除く。
- メリット
- ・度重なる修復物や根管治療後の歯の変色による審美不良の改善
・歯牙形態、歯列不正の改善も可能
・矯正治療の期間、費用の短縮 - デメリット
- ・自由診療(保険適用外)のため、費用が高額になる
・健全歯質の切削量が多い
・ケースによっては根管治療が必要となる
上記の治療は保険適応外、料金はブログ公開日時点での税込価格になります。
セラミッククラウンについてはこちら




